Non-Surgical Management of Upper Cervical Instability via Improved Cervical Lordosis: A Case Series of Adult Patients

What the Study Looked At

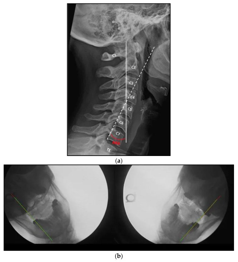
Upper Cervical Instability (UCIS) happens when the top two vertebrae (C1 & C2) move excessively relative to each other—often following whiplash. In some cases, patients also lose their normal neck curve (cervical lordosis).

The researchers tested whether restoring this neck curve non-surgically could reduce instability and improve symptoms.

Who Was Included

  • 9 adults with both UCIS and reduced/loss of cervical lordosis confirmed via imaging.

What They Did

Each patient underwent chiropractic care focused primarily on restoring cervical lordosis. Methods included posture correction tools like the Denneroll™, posture pump®, and traction.

What Changed

  • All nine patients showed radiographic improvements—better cervical curve and reduced upper cervical instability (assessed by C1 lateral-mass overhang on C2 during lateral flexion).

  • Symptoms and functional ability also improved in all cases.

Statistical Findings

Improvement in lordosis correlated with reduced instability. Regression showed R² = 0.46, p = 0.04, meaning about 46% of instability reduction can be statistically associated with curve correction.

Implications for you when you see a Chiropractic Biophysics (CBP) practitioner

  • Structural correction matters: Even when instability is high, restoring the cervical curve can reduce biomechanical stress at C1–C2.

  • Non-surgical option: These improvements occurred without surgery. CBP methods can address structural instability through alignment techniques.

  • Objective markers work: This study used imaging and measurable anatomical markers (lordosis angle, overhang) alongside symptom changes. Good model for tracking progress in CBP.

  • Clinical relevance: Suggests patients with whiplash-related instability may benefit from early curve correction to prevent chronic dysfunction.

FAQ (Frequently asked Questions)

Q: What is Upper Cervical Instability (UCIS)?

A: It’s when the first two vertebrae in your neck (C1 and C2) move too much relative to each other—often after whiplash-type injuries.

Q: Why does neck curve (lordosis) matter in this?

A: A healthy neck curve helps distribute forces and stabilize joints. Losing that curve can increase strain on the upper cervical area, making instability worse.

Q: Can restoring the curve improve my symptoms?

A: In this study, yes—for all 9 patients involved. Radiographic markers of instability improved, as did symptoms and function.

Q: Is this better than surgery?

A: This study showed significant improvement via non-surgical methods. That offers a lower-risk option, especially for patients preferring conservative care.

Q: How did they measure instability improvement?

A: They measured C1 lateral mass overhang on C2 during side bending. That overhang decreased as lordosis improved.

Q: Does lordosis restoration guarantee symptom relief?

A: Not guaranteed for everyone. This was a small case series. Larger, controlled trials are needed to generalize.

References: Katz EA, Katz SB, Freeman MD. Non-Surgical Management of Upper Cervical Instability via Improved Cervical Lordosis: A Case Series of Adult Patients. J Clin Med. 2023;12(5):1797. Published 2023 Feb 23. doi:10.3390/jcm12051797

Previous
Previous

Addition of a Sagittal Cervical Posture Corrective Orthotic Device to a Multimodal Rehabilitation Program Improves Short- and Long-Term Outcomes in Patients with Discogenic Cervical Radiculopathy

Next
Next

Increase in cerebral blood flow indicated by increased cerebral arterial area and pixel intensity on brain magnetic resonance angiogram following correction of cervical lordosis