
Can Improving Your Neck Posture Help Your Jaw? New Research Says: Yes

How Chiropractic Care Can Help Your Brain, Sleep, and Mood

Better Lumbar Posture, Better Results: Research on Radiculopathy Recovery

Structural Neck Posture Leads to Lasting Benefits in Disc-Related Leg Pain

Addition of a Sagittal Cervical Posture Corrective Orthotic Device to a Multimodal Rehabilitation Program Improves Short- and Long-Term Outcomes in Patients with Discogenic Cervical Radiculopathy

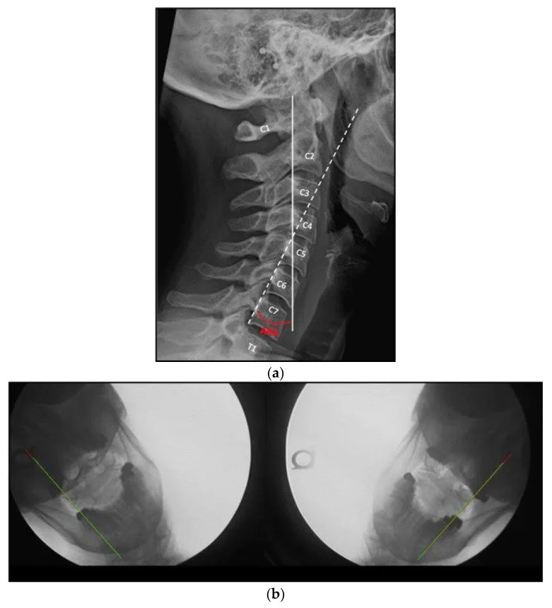
Non-Surgical Management of Upper Cervical Instability via Improved Cervical Lordosis: A Case Series of Adult Patients

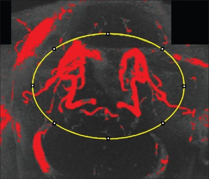
Increase in cerebral blood flow indicated by increased cerebral arterial area and pixel intensity on brain magnetic resonance angiogram following correction of cervical lordosis

FAQs: Cervical Spine Curvature and Your Health

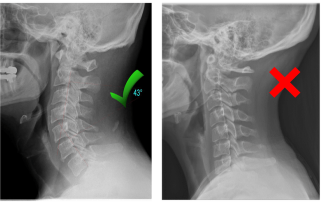
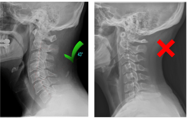
How Abnormal Neck Curvature Can Increase Spinal Stress 6–10× and Accelerate Arthritis & Disc Disease

Does Forward Head Posture Influence Somatosensory Evoked Potentials and Somatosensory Processing in Asymptomatic Young Adults?

What is a “subluxation”?

What is Hyperkyphosis?

Scoliosis Awareness Month - Why Does it Matter?

Article:
Chiropractors Overlook Rib Cage Subluxations: Rehabilitation for Stroke Victims

Normal vs Abnormal
Postural Correction

Chiropractic Biophysics